1. 引言
光学相干断层成像(OCT)是一项基于低相干干涉的断层成像技术,因其具备高空间分辨率(1–15 μm)、高速成像、无接触等优势,自 1990 年代问世以来已成为眼科诊疗的核心影像技术,同时在皮肤科、口腔医学、神经科学及生物工程中广泛应用。然而单一结构成像模式的 OCT 在识别弱对比组织(如早期肿瘤)以及评价组织功能(如血流、力学、代谢活动)方面仍存在显著限制。
为提升 OCT 的诊断能力,研究者不断开发新的光学对比机制,并将其融合于 OCT 平台,形成多模态 OCT(multimodal OCT, mmOCT)。多模态 OCT 通过整合如血流动力学、偏振特性、生化光谱特征、光热吸收、光声响应、组织力学性质及散斑动态变化等多种维度信息,使得 OCT 具备更高的诊断敏感度与组织特异性。该技术体系的快速发展,使 OCT 从“结构成像工具”转变为“综合组织表征平台”,成为当前光学成像研究热点。
本文将系统总结多模态 OCT 的主要技术路径,包括 OCT 血流成像、偏振敏感 OCT、光谱 OCT、光热与光声 OCT、光学相干弹性成像及动态散斑成像等,讨论其系统结构、成像原理和性能特点。同时,我们将重点展示 mmOCT 在眼科、皮肤科、神经科学及肿瘤学等典型领域的应用,并提出 mmOCT 技术未来发展方向。
2. 多模态 OCT 技术
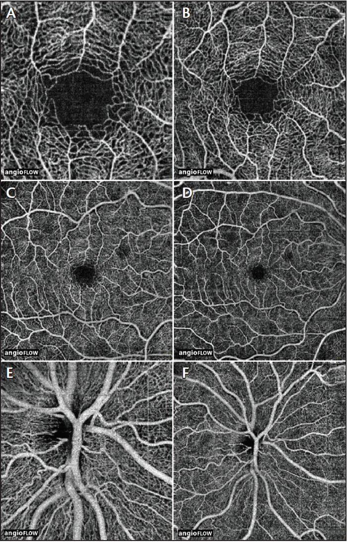
2.1 OCT 血流成像(OCTA)
OCTA 基于重复扫描同一位置,利用相位差分、振幅退相干等方式提取血流信号。通过高速扫频源(100–400 kHz),OCTA 可实现无造影剂的微血管成像,广泛应用于视网膜病变监测、皮肤肿瘤血供成像以及小动物脑血流研究。
2.2 显微镜 OCT(Microscope-integrated OCT, MIOCT)
显微镜 OCT 将 OCT 成像集成到手术显微镜或实验显微镜中,实现实时组织结构和功能成像。系统可结合多模态技术,如血流、偏振、光谱及弹性成像,用于手术导航、肿瘤切除边界评估及科研实验。显微镜 OCT 在眼科手术、脑科手术以及组织工程和生物科研中具有重要应用价值,能够提供微米级高分辨率的实时成像信息。
2.3 眼底相机 OCT(Fundus Camera OCT)
眼底相机 OCT 将 OCT 成像与眼底成像相结合,通过扫描视网膜区域获取结构与功能信息。系统通常配备高速光源与高灵敏探测器,可进行血流成像(OCTA)和多模态信息融合。眼底相机 OCT 可实现无创快速筛查,广泛应用于糖尿病视网膜病变、黄斑变性、青光眼及其他眼底病变的临床诊断与随访。
2.4 偏振敏感 OCT(PS-OCT)
PS-OCT 通过检测组织的双折射性、相位延迟及偏振退偏程度,反映胶原、肌纤维、髓鞘等取向结构。该技术在角膜胶原结构评估、皮肤纤维化诊断及牙釉质损伤检测中具有重要应用。
2.5 光谱 OCT(spectroscopic OCT)
SOCT 通过分析散射光的光谱依赖性,能够提取与吸收、色散和亚波长结构相关的信息。
SOCT 可用于血红蛋白氧饱和度定量、黑色素测量以及肿瘤组织生化变化分析。
2.6 动态散斑 OCT(Dynamic OCT)
通过分析散斑随时间的波动,Dynamic OCT 可反映细胞迁移、代谢活动等微运动,应用于皮肤炎症监测、毛囊活性分析及浅层器官动态研究。
3. 多模态 OCT 应用
3.1 眼科学
OCTA 可无创成像视网膜和脉络膜微血管网络,用于监测糖尿病视网膜病变、黄斑变性和青光眼等疾病;PS-OCT 可显示视神经纤维层厚度及角膜胶原排列,评估角膜及视神经结构健康;SOCT 可分析视网膜色素上皮和光感受器的生化信息,辅助早期病变检测;OCE 可评估角膜及眼部组织弹性,应用于角膜手术前后力学变化监测;显微镜 OCT 可在手术中实时导航,指导玻璃体切除、角膜移植等操作;眼底相机 OCT 支持门诊快速筛查和随访,实现结构、血流及多模态信息综合评估,提高诊断精度和早期病变发现率。
3.2 皮肤科
SOCT及 Dynamic OCT 可区分良恶性肿瘤、识别色素病变并监测皮肤炎症。
3.3 神经科学
OCTA 能显示脑皮层微血管网络,PS-OCT 可评估髓鞘完整性,Dynamic OCT 可反映神经元附近的微动态变化。
4. 技术挑战与发展趋势
当前 mmOCT 面临系统结构复杂、实时处理压力大、临床标准化不足等问题。未来的发展方向包括高速与全场 OCT 结合多模态成像、AI 辅助特征融合、低成本便携式 mmOCT 设备以及靶向纳米对比剂结合的分子成像。
5. 光微视角
光微将不断探索多模态 OCT 技术的无限可能,紧跟全球最新科研成果,并将其快速转化为可落地、可应用的创新产品。 我们将通过融合结构、血流、光谱、偏振、弹性等多维成像能力,为用户提供更全面、更深入的组织信息;并持续拓展 mmOCT 在眼科、皮肤科、肿瘤学、术中导航等多场景的应用,为精准医疗和生命科学研究提供更先进的视觉工具。
参考文献:
1. Huang, D., Swanson, E. A., Lin, C. P., et al. (1991). Optical coherence tomography. *Science*, 254(5035), 1178–1181.
2. Fujimoto, J. G., & Swanson, E. A. (2016). The development, commercialization, and impact of optical coherence tomography. *Investigative Ophthalmology & Visual Science*, 57(9), OCT1–OCT13.
3. Schmitt, J. M. (1999). Optical coherence tomography (OCT): A review. *IEEE Journal of Selected Topics in Quantum Electronics*, 5(4), 1205–1215.
4. Kaya, S., Desjardins, A. E., & Považay, B. (2017). Multimodal optical coherence tomography imaging. *Biomedical Optics Express*, 8(1), 211–227.
5. Liu, W., Zhang, Y., & Wang, R. K. (2022). Optical coherence elastography: Current status and future perspectives. *Progress in Biomedical Engineering*, 4(1), 012001.
6. Zhang, J., Jiang, J., & Wang, R. K. (2015). Dynamic light scattering optical coherence tomography. *Journal of Biomedical Optics*, 20(3), 030501.
7. Liu, G., Jia, Y., & Wang, R. K. (2013). Optical coherence tomography angiography. *Biomedical Optics Express*, 4(7), 1037–1045.
8. Leichtle, A., Penxova, Z., Kempin, T., Leffers, D., Ahrens, M., König, P., ... & Schulz-Hildebrandt, H. (2023, June). Dynamic microscopic optical coherence tomography as a new diagnostic tool for otitis media. In Photonics (Vol. 10, No. 6, p. 685). MDPI.
9. Zhou, X., Won, K. S., Chulho, O., Young, K. D., Hyuk, C. J., Yong, K. T., ... & Yeh-Chan, A. (2021). Investigation of the Clinical Potential of Polarization-Sensitive Optical Coherence Tomography in a Laryngeal Tumor Model. 조직공학과 재생의학, 18(1), 81-87.
10. Drexler, W. (2004). Ultrahigh-resolution optical coherence tomography. Journal of biomedical optics, 9(1), 47-74.
11. Carrasco-Zevallos, O. M., Keller, B., Viehland, C., Shen, L., Waterman, G., Todorich, B., ... & Izatt, J. A. (2016). Live volumetric (4D) visualization and guidance of in vivo human ophthalmic surgery with intraoperative optical coherence tomography. Scientific reports, 6(1), 31689.
12. Viehland, C., Chen, X., Tran-Viet, D., Jackson-Atogi, M., Ortiz, P., Waterman, G., ... & Izatt, J. A. (2019). Ergonomic handheld OCT angiography probe optimized for pediatric and supine imaging. Biomedical Optics Express, 10(5), 2623-2638.
